Ενώ η παχυσαρκία και ο διαβήτης τύπου 2 είχαν προηγουμένως θεωρηθεί παράγοντες κινδύνου για καρκίνο του παγκρέατος, οι ακριβείς μηχανισμοί με τους οποίους συνέβαινε αυτό παρέμεναν ασαφείς. Η νέα μελέτη ρίχνει φως στο ρόλο της ινσουλίνης και των υποδοχέων της σε αυτή τη διαδικασία. Η έρευνα, που δημοσιεύεται στο περιοδικό «Cell Metabolism», καταδεικνύει ότι τα υπερβολικά επίπεδα ινσουλίνης υπερδιεγείρουν τα παγκρεατικά κυψελοειδή κύτταρα, τα οποία παράγουν πεπτικά υγρά. Αυτή η υπερδιέγερση οδηγεί σε φλεγμονή που μετατρέπει αυτά τα κύτταρα σε προκαρκινικά.
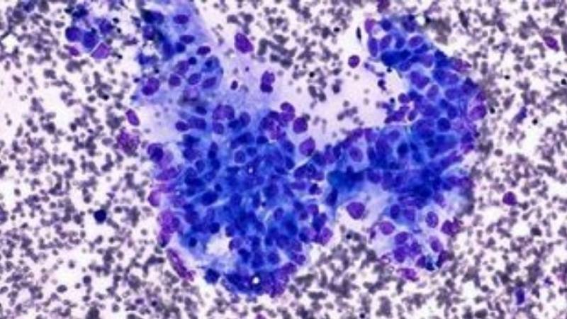
Η μελέτη επικεντρώθηκε στο αδενοκαρκίνωμα του παγκρεατικού πόρου, τον πιο διαδεδομένο καρκίνο του παγκρέατος, ο οποίος είναι ιδιαίτερα επιθετικός. Η συχνότητα εμφάνισης αυτού του καρκίνου του παγκρέατος βρίσκεται σε άνοδο και μέχρι το 2030 αναμένεται να γίνει η δεύτερη κύρια αιτία θανάτων που σχετίζονται με τον καρκίνο.
«Παράλληλα με τη ραγδαία αύξηση της παχυσαρκίας και του διαβήτη τύπου 2 βλέπουμε μια ανησυχητική αύξηση των ποσοστών καρκίνου του παγκρέατος», δηλώνει ο Τζέιμς Τζόνσον, ένας από τους συγγραφείς της μελέτης, καθηγητής στο Τμήμα Κυτταρικών και Φυσιολογικών Επιστημών και προσωρινός διευθυντής του Ινστιτούτου Επιστημών Ζωής στο Πανεπιστήμιο της Βρετανικής Κολομβίας. «Τα ευρήματα αυτά μας βοηθούν να κατανοήσουμε πώς συμβαίνει αυτό και υπογραμμίζουν τη σημασία της διατήρησης των επιπέδων ινσουλίνης σε ένα υγιές εύρος, το οποίο μπορεί να επιτευχθεί με τη διατροφή, την άσκηση και σε ορισμένες περιπτώσεις με φάρμακα», προσθέτει.
Οι ερευνητές επισημαίνουν ότι τα ευρήματα αυτά μπορεί να αφορούν και άλλους καρκίνους που σχετίζονται με την παχυσαρκία και τον διαβήτη τύπου 2, όπου τα αυξημένα επίπεδα ινσουλίνης μπορεί επίσης να συμβάλουν στην έναρξη της νόσου.
ΑΠΕ - ΜΠΕ
